L'orthodontie s'adapte à tous : de l'enfant à l'adulte pour répondre à différentes problématiques.
Un programme adapté et sur mesure vous sera proposé afin de mettre en place le meilleur protocole pour prendre soin de votre sourire.
L'orthodontie interceptive
L’orthodontie interceptive est une méthode qui consiste à traiter les enfants dès leur plus jeune âge, si cela est nécessaire. Le succès de cette technique dépend en grande partie de la collaboration des jeunes patients. Le but est de les aider à développer une bonne croissance dentaire, évitant ainsi des traitements plus longs et complexes, comme les extractions dentaires. Nous optons pour l’utilisation d’aligneurs transparents. Peu contraignant et pas douloureux avec une phase d’interception rapide de 6 mois.

L'Orthodontie chez les adolescents
L’orthodontie chez les adolescents implique généralement la pose d’un appareil dentaire lors de l’arrivée des dernières dents permanentes. Ce traitement pourra se faire avec des aligneurs transparents. Cet appareil permet d’aligner les dents et de s’assurer que les arcades dentaires sont correctement alignées, pour que les jeunes patients puissent passer à l’âge adulte avec une dentition saine et harmonieuse.
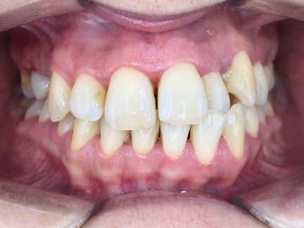
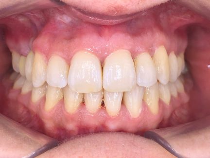
L'Orthodontie chez les adultes
Tous nos traitements sont numérisés, ce qui permet aux patients de visualiser leur traitement, de comprendre les objectifs, la complexité et la durée du processus. Cela aide les patients à se projeter dans leur traitement et à avoir une meilleure compréhension des étapes à suivre.
Nous proposons des traitements par aligneurs pour adultes qui peuvent être courts (moins de 6 mois pour des corrections mineures ou des reprises de traitement), mais aussi plus longs pour des corrections plus importantes.


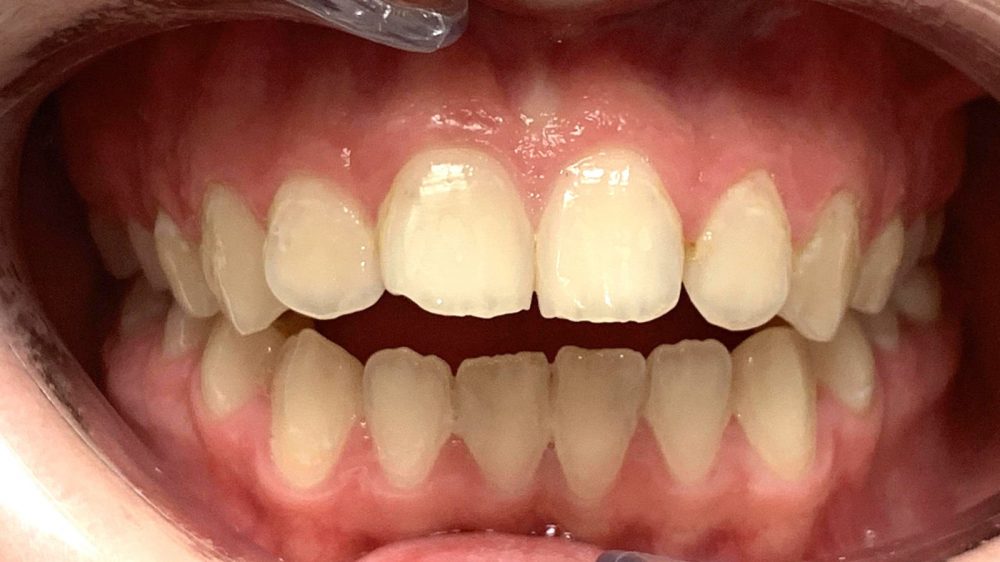
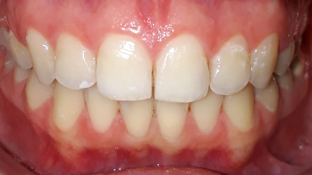
Comment se trouve un traitement par aligneurs ?
Avec Invisalign, les aligneurs invisibles et amovibles sont utilisés pour réaligner les dents et améliorer l’esthétique du sourire. Cette méthode innovante permet une amélioration rapide des résultats pour les patients.
Pour débuter un traitement Invisalign, nous réalisons une empreinte numérique et une radiographie de vos dents. Ces données nous permettent d’établir un plan de traitement personnalisé en fonction du nombre de gouttières, de taquets et d’élastiques nécessaires. Ensuite, nous utilisons le logiciel ClinCheck pour planifier le déplacement des dents jusqu’à atteindre le résultat final. Cette simulation vous permettra de visualiser l’évolution de vos dents tout au long du traitement.
Pour le traitement Invisalign, nous posons des taquets sur les dents pour améliorer la précision du mouvement des dents. Ensuite, vous recevez votre première gouttière qui correspond à la forme initiale de vos dents. La dernière gouttière sera celle qui aura la forme finale souhaitée pour vos dents. Vous devrez changer vos gouttières généralement tous les 15 jours jusqu’à la fin du traitement pour obtenir les meilleurs résultats possibles.


